Ladder falls a big cause of workplace injuries. Here's how an Ontario man climbed back from a head injury

When he first picked himself up off the ground after falling from a ladder on a job site six years ago, Mark Foster thought at worst he might be a bit sore for a few days.
Though he’d smacked his head after tumbling from a height of four metres, the then 44-year-old from Ingersoll, Ont., initially saw no reason to believe he’d suffered an injury that would soon have life-changing consequences.
“I didn’t lose consciousness or anything,” he told CBC News. “I got up and I brushed myself off. I set the ladder back up — got back to work.”
Ladder-related accidents continue to be a significant cause of workplace injuries in Canada.
What the stats say about falls from heightsLast year alone in Ontario, the Workplace Safety and Insurance Board (WSIB) reported 242 injury claims related to ladder accidents and injuries. That works out to one injury every working day of the month. On average, those injuries accounted for an average of 29 lost work days per person.
Those stats only include injuries that led to WSIB claims; they don't account for ladder injuries and deaths that happen at home.
Public Health Ontario included falls from scaffolding and/or ladders in its emergency room visit statistics from 2019, the same year Foster was hurt.
Those falls led to 20 deaths, 88,000 emergency department visits and 1,024 hospitalizations.
At the time of his injury, Foster, a master electrician also trained to work on industrial refrigeration systems, was installing metal electrical conduit in the ceiling of a commercial building in Paris, Ont.
It was a standard assignment for the experienced contractor who frequently travelled as far as the Quebec border and Thunder Bay for what is highly specialized, technical work installing air-handling systems in commercial and residential buildings.
It wasn’t until after Foster had finished the installation that day and had packed his tools to head home that a co-worker noticed Foster didn’t look well.
“He said something looks funny and looks pale about me,” said Foster. “I told him what happened and how far I fell, and he said, 'Maybe there’s nothing wrong, but let’s get you to a hospital to make sure.'”
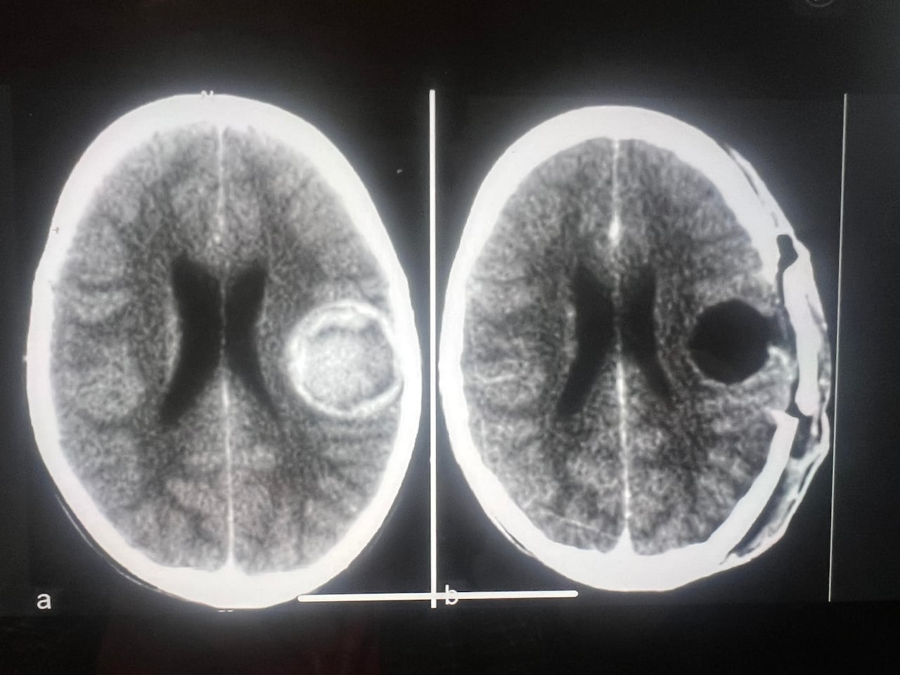
Issues heightened after release from hospitalDuring that hospital visit, a CT scan showed he had a cavernoma in his brain, an abnormal cluster of thin-walled blood vessels. Some people with cavernomas live normal, healthy lives, unaware they even have them. Foster's cavernoma wasn't related to the fall, though it would become significant in the weeks and months after the injury.

He was released from hospital feeling OK and with instructions to see a specialist. In the days that followed his injury, Foster started to experience headaches, light-headedness and brain fog.
Seven days after the fall, Foster stepped out of his morning shower unsteady on his feet and suddenly unable to speak clearly.
“I was talking gibberish basically,” he said. “And I went downhill from there.”
His wife Sonia called 911 and Foster was eventually transported by Ornge air ambulance to University Hospital in London.
She was told he was having a stroke caused by brain swelling from the head injury.
I had to learn to speak all over again. I couldn't even say one single word.- Mark Foster
Foster was stabilized and spent two months recovering in the hospital. He was back home by Christmas, having to relearn how to walk and speak. He had extensive paralysis on the right side of his body.
After a few weeks Sonia, who was overseeing Mark's care, noticed he wasn’t improving, but actually getting worse.
He returned to hospital and was told the brain swelling had returned. Doctors decided the cavernoma, about the size of a golf ball, was in the way of his recovery and had to be removed.
Originally surgeons planned to go through his skull to remove the cavernoma but had to switch that plan during the procedure. They ended up going under his jaw, stretching a planned four-hour surgery into 10 hours.
In the years since, he's had up to 30 hours a week of physio and speech therapy as well as treatment for depression, which is common in patients with head injuries.
"I had to learn to speak all over again," said Foster. "I couldn't even say one single word."
Today Foster is again able to walk and talk, but he continues to have extensive paralysis on his right side. Elevating his arm for even a second requires immense effort. He has to use the fingers of his left hand to pry open the ones on his right if he wants to use the right hand to hold an object.
It's something I have to do. I have to find myself the strength and the energy to get enough drive to do the recovery- Mark Foster
Now, he can go for short walks and his speech has returned, though Foster occasionally has to stop in mid-sentence to recall the right word and complete his thought. Overall, he estimates he's about halfway back to where he was before the injury.
Sonia insists the recovery is more than that.
"He's really hard on himself," she said. "Sometimes I have to remind him: 'You couldn't do that even a month ago.'"
Mark is also trying different therapies in his recovery, including a Portable Neuromodulation Stimulator (PoNS). The system uses an electronic device placed on the tongue to send electrical pulses to the brain during rehabilitation exercises to promote healing by helping the brain rebuild neural connections.
Foster plans to eventually return to work. He may no longer be able to ascend a ladder or use a screw gun to attach conduit to a ceiling, but hopes to use his experience to teach apprentices or manage construction projects.
Foster said no one is no blame for his injury. There's no lawsuit. Foster said he and and his employer were working safely that day. His injury was just the result of a misstep at a critical moment.
Part of his motivation for telling his story is to remind others in the trades to take care on the job, and offer a reminder that even a simple task needs to be done with safety in mind.
To anyone else trying to recover from a stroke or head injury, Foster's advice is simple: Don't give up, and be patient.
"As long as you are fighting your way back, you can make real progress," he said. "It's just going to take time. Sky's the limit."
cbc.ca




